Как выбрать виниры:
сравнение преимуществ и цен
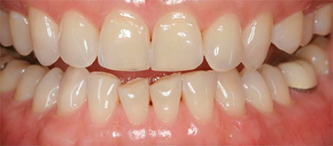
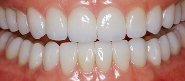
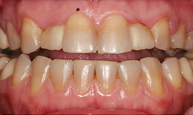
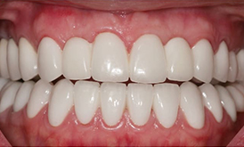
Фото до и после установки виниров
Установка виниров – эффективный метод эстетической реставрации. Они отлично подходят для быстрого устранения дефектов в зоне улыбки – наиболее заметной области.
Поэтому в договоре на лечение прописана гарантия 15 лет!
Стоматологи-ортопеды со стажем от 8 лет
Врач стоматолог-ортопедСтаж работы:
18 лет
Врач стоматолог-ортопед, хирург, имплантологСтаж работы:
14 лет
Врач стоматолог-ортопедСтаж работы:
6 лет
Врач стоматолог-ортопед, хирург, имплантологСтаж работы:
14 лет
Врач стоматолог-ортопедСтаж работы:
13 лет
Врач стоматологСтаж работы:
5 лет
Врач стоматолог-ортопед, хирург, имплантологСтаж работы:
12 лет
Врач стоматолог-терапевт, пародонтолог, хирург, ортопедСтаж работы:
20 лет
Врач стоматолог, хирург, имплантолог, ортопедСтаж работы:
22 года
Врач стоматолог-ортопед, имплантолог, хирургСтаж работы:
16 лет
Врач стоматолог-ортопедСтаж работы:
16 лет
Врач стоматолог-терапевт, врач стоматолог общей практикиСтаж работы:
8 лет
Врач стоматолог-хирург, имплантолог, ортопедСтаж работы:
11 лет
Преимущества керамических, композитных и фарфоровых виниров
- Ровный прикус без ортодонтовПосле установки виниров пациент сразу получает красивые и ровные зубы в зоне улыбки
- Защита эмалиВиниры дополнительно защищают эмаль зубов от разрушения
- Здоровый оттенокВиниры устраняют потемнения и желтизну эмали, а заметить их на зубах при этом непросто

Сколько стоят виниры с установкой
Внимание! Цены на сайте клиники соответствуют реальным. В стоимость уже включена работа врача и затраты на расходные материалы. Никаких доплат во время лечения пациенты не делают.
- КомпозитныеИз композитного материалаУстановка
за 1 визитСрок службы7 летЭстетикастандартнаяРассчитать стоимостьЦенаот 10 000 ₽Цены по акции действуют при проведении имплантации «Всё включено»
- КерамическиеИз керамики E-MaxУстановка
за 1 визитСрок службы15 летЭстетикаоптимальнаяРассчитать стоимостьЦенаот 30 000 ₽Цены по акции действуют при проведении имплантации «Всё включено»
- ЛюминирыТонкие люминиры из форфораУстановка
за 1 визитСрок службы15 летЭстетикапремиальнаяРассчитать стоимостьЦенаот 50 000 ₽Цены по акции действуют при проведении имплантации «Всё включено»

6 клиник рядом с домом
Отзывы и фото пациентов
после имплантации
Рейтинги и отзывы пациентов
Все отзывыОбратилась в Стоматологию Комфорта по поводу щели между передними зубами. Врач Качапкин Глеб Игоревич посоветовал поставить виниры. Эффект сногсшибательный! Всего за 2 недели я стала обладательницей красивой улыбки. Спасибо огромное врачу и всему персоналу за работу и старание!
Очень довольна результатом не смотря на то, что нужно предварительно обтачивать зубы. Это незначительный минус по сравнению с тем, что получаешь в итоге. У меня были довольно большие промежутки между зубами, теперь же все ровно и красиво при улыбке. Кроме того, чуть поменялся цвет, я захотела их белее. Спасибо Стоматологии Комфорта за обновленную улыбку!
Мы работаем с 1988 года
Все наши специалисты — профессионалы своего дела. Гарантируем, вам будет оказана квалифицированная помощь.
Высокое качество лечения
Используем лучшие материалы и оборудование. В качестве работы вы можете убедиться, ознакомившись с отзывами.
Доступные цены
Мы стараемся сократить ваши расходы, поэтому регулярно организуем для вас выгодные акции и скидки.
Тёплое отношение
Вам больше не нужно бояться стоматологов. Наши специалисты гарантируют комфортное и безболезненное лечение.
Удобное расположение
6 филиалов в 10 минутах ходьбы от метро в разных районах Санкт-Петербурга. Мы всегда рады вас видеть!
Сервис онлайн-записи
Теперь вы можете записаться к врачу быстро и легко. Просто выберите удобное время и оставьте заявку на приём!



















