Имплантация с имплантом Adin
19 900 ₽
Имплантация «все на 4-х»
от 181 000 ₽
Скидка 20% на лечение кариеса
-20%
Протезирование со скидкой 20%
-20%
Наш адрес в Санкт-Петербурге
Режим работы:
Пн-Вс с 9:00 до 21:00, без перерыва и выходных
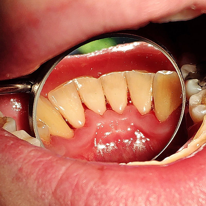
Фото пациента во время ультразвуковой чистки зубов

Ультразвуковая чистка зубов

Приглашаем на чистку зубов ультразвуком в Стоматологию Комфорта в Санкт-Петербурге. Сеанс длится не более 40 минут, бережно удаляем с эмали зубной камень, который невозможно почистить в домашних условиях.
Фото пациента во время ультразвуковой чистки зубов

Особенности удаления зубных отложений ультразвуком

Для гигиенической процедуры используется стоматологический скалер, который подает на зубы поток ультразвуковых колебаний одновременно со струей воды. Ультразвук в сочетании с напором воды разрушает твердые минерализованные отложения и смывает их остатки с поверхности эмали. Холодная вода дополнительно охлаждает зубные единицы, минимизируя неприятные ощущения во время процедуры.

Показания к процедуре

Чистка зубной эмали ультразвуковым скалером показана исключительно для удаления твердых зубных отложений. Если у пациента нет камня, ультразвук не используется.

Зубной камень – это затвердевшие зубные отложения, которые вовремя не удалены из полости рта. Они на 70-90% состоят из минеральных солей кальция и фосфора, и на 10-30% – из бактерий и продуктов их жизнедеятельности. Твердый налет образуется из-за неправильной гигиены полости рта, вредных привычек, гормональных нарушений, системных заболеваний организма.

Показания:

  • Твердые зубные отложения на линии зуб десна и в пародонтальных карманах;
  • Комплексное лечение пародонтита;
  • Подготовка к имплантации, ортодонтическому лечению, протезированию, отбеливанию зубов.

Цены

Стоимость чистки зубов ультразвуком зависит от количества очищаемых единиц, дополнительных услуг (ProphyFlex, реминерализация эмали, фторирование), потребности в удалении поддесневых отложений.
  • Профессиональная чистка зубов (ультразвук, prophyflex, полировка)
    от 4 900
  • Реминерализация всех зубов
    от 3 960

Акции

Мы стараемся сократить ваши расходы, поэтому в своей стоматологии часто проводим акции и делаем скидки на профгигиену зубов

Все акции
  • Профессиональная чистка зубов
    5 500 ₽
    Акция продлится до 31.12.2024
    Все акции

Ультразвук – составляющая комплексной профессиональной гигиены полости рта

Ультразвуковую чистку зубов назначают в сочетании с технологией ProphyFlex. ProphyFlex – это воздушно-абразивная обработка, аналог известной технологии Air Flow.
Фото Абрамовой Кристины Александровны — врача-стоматолога, терапевта
Абрамова Кристина Александровна
Врач-стоматолог, терапевт

Эти 2 технологии позволяют очистить поверхность зубов от всех видов отложений: мягких и твердых

  • Ультразвуком удаляют зубной камень;
  • ProphyFlex снимает бактериальные пленки и мягкий пищевой налет.

Этапы чистки зубов ультразвуком

Гигиеническая процедура проводится в следующей последовательности.

Наши специалисты ответят на все интересующие вас вопросы и подробно расскажут обо всех этапах лечения

Записаться на консультацию
Наши специалисты ответят на все интересующие вас вопросы и подробно расскажут обо всех этапах лечения
  • 1. Осмотр у специалиста
    Фото пациента перед ультразвуковой чисткой зубов
    Врач оценивает состояние полости рта и выбирает оптимальный для пациента метод лечения.
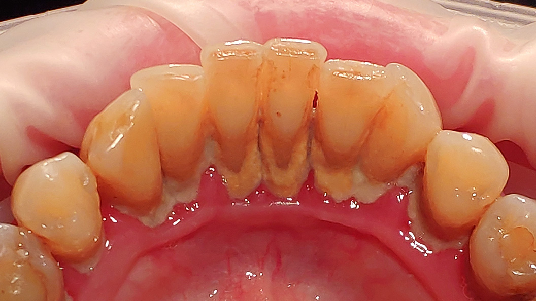
  • 2. Удаления камня ультразвуком
    Фото пациента во время ультразвуковой чистки зубов
    Процедура может вызывать неприятные ощущения, особенно в зонах клиновидных дефектов — оголенных шеек зубов. Чтобы уменьшить дискомфорт, используем аппликационную анестезию: зубы и десна обрабатываются обезболивающим спреем на основе лидокаина.
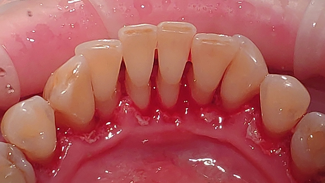
  • 3. Полировка эмали
    Фото пациента во время ультразвуковой чистки зубов
    Используются щеточки и полировочные пасты разной степени абразивности. Эмаль полируется для того, чтобы уменьшить повторное скопление налета. Межзубные промежутки шлифуются абразивными полосками.
  • 4. Реминерализация эмали
    Фото пациента перед ультразвуковой чисткой зубов
    Стоматолог на несколько минут наносит на зубной ряд реминерализующий состав на основе кальция и фосфора. Если необходимо, также проводится фторирование эмали (назначается опционально по показаниям).

Преимущества УЗ-чистки

  1. Проходит быстрее ручной чистки
    Если удаление зубного камня ручным способом занимает около 2 часов, ультразвук справляется с этим за 30 минут.
  2. Эффективно удаляет зубные отложения
    Благодаря более тонкому наконечнику ультразвуковой скалер проникает глубже в пародонтальные карманы, лучше очищает эмаль, поддесневые пространства, труднодоступные места.
  3. Проходит практически безболезненно
    Вода оказывает анестезирующий эффект. В сочетании с аппликационной анестезией процедура доставляет минимум дискомфорта.
  4. Меньше травмирует эмаль и десны
    На зубы оказывается меньшее давление, ниже риск повреждения эмали и травмирования десен.

Противопоказания

Перед проведением профессиональной гигиены полости рта расскажите врачу о любом из перечисленных ниже состояний.

Процедура противопоказана при:

  • Острых респираторных инфекциях;
  • Повышенной чувствительности эмали;
  • Беременности и лактации;
  • Аритмии и астме.

Важно учитывать, что ультразвук может нарушать работу кардиостимулятора, поэтому таким пациентам проводят ручную чистку зубного камня.

Что еще важно знать об ультразвуковой чистке зубов

В нашей клинике используются ультразвуковой аппарат последнего поколения, а процедуру проводят опытные стоматологи-гигиенисты. Перед сеансом исключаем любые противопоказания, поэтому процедура безопасна и комфортна для пациента.

Чистка ультразвуком:

  • Может повредить зубную эмаль. Это происходит при использовании устаревших моделей УЗ-скалеров, несоблюдении врачом протокола, значительных трещинах на эмали.
  • Не подразумевает отбеливание. После профгигиены зубы могут посветлеть на 2-3 тона за счет удаления пигментированного налета. Для большего эффекта воспользуйтесь клиническим отбеливанием.
  • Не рекомендуется чаще 2 раз в год.

Рекомендации после процедуры

После чистки зубов необходимо заменить зубную щетку. Также в течение нескольких дней рекомендуются антисептические полоскания, чтобы быстрее зажили микроповреждения слизистой оболочки десны.

Чтобы дольше сохранить зубы чистыми придерживайтесь рекомендаций врача в отношении диеты и ухода за полостью рта.

  • Чистите зубы минимум 2 раза в день, важны правильные движения щеткой;
  • Используйте зубную нить и ирригатор;
  • В первые несколько дней избегайте курения, красящих продуктов, горячих напитков (кофе и чай).

Каждые полгода наблюдайтесь у врача и проводите профессиональную гигиену полости рта – это лучшая профилактика кариеса и заболеваний десен.

Отзывы пациентов

Все отзывы

Почему нас выбирают уже более 35 лет

Мы создаём идеальные улыбки уже 35 лет! Предлагаем новейшие технологии и методики лечения в сочетании с высоким профессионализмом врачей!
Получите первичную консультацию специалиста!
  • Мы работаем с 1988 года

    Все наши специалисты — профессионалы своего дела. Гарантируем, вам будет оказана квалифицированная помощь.

  • Высокое качество лечения

    Используем лучшие материалы и оборудование. В качестве работы вы можете убедиться, ознакомившись с отзывами.

  • Доступные цены

    Мы стараемся сократить ваши расходы, поэтому регулярно организуем для вас выгодные акции и скидки.

  • Тёплое отношение

    Вам больше не нужно бояться стоматологов. Наши специалисты гарантируют комфортное и безболезненное лечение.

  • Удобное расположение

    6 филиалов в 10 минутах ходьбы от метро в разных районах Санкт-Петербурга. Мы всегда рады вас видеть!

  • Сервис онлайн-записи

    Теперь вы можете записаться к врачу быстро и легко. Просто выберите удобное время и оставьте заявку на приём!

Обратная связь