До и после лечения


Осмотр и диагностика
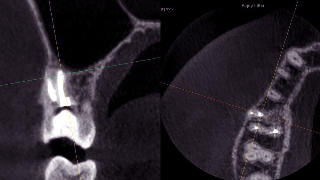
Пациентка после лечения в другой клинике обратилась в «Стоматологию Комфорта» с жалобами на ноющие боли в области жевательных зубов верхней челюсти. Боли усиливались при принятии пищи и горячих напитков. В результате проведения конусно-лучевой компьютерной томографии врач Вахлюева Елена Сергеевна обнаружила пропущенный дополнительный канал в ранее леченом моляре. Проведено селективное эндодонтическое лечение с пломбированием зуба.
Хронический периодонтит — это распространённое заболевание, связанное с воспалением тканей, окружающих зуб. Зачастую образуется в результате запущения кариеса или пульпита. Также может проявиться после некачественной чистки каналов. Без врачебного вмешательства заболевание опасно разрушением костной ткани и потерей зубов.
Процесс работы
Лечение включало следующие мероприятия:
- проведение конусно-лучевой компьютерной томографии и выявление проблемы;
- селективное эндодонтическое лечение зуба 1.6;
- пломбирование канала зуба.
Улыбку создавали
Другие работы

Выполнение профессиональной гигиены для снятия минерализованных зубных отложений и пигментированного налётаСмотреть работуСрок лечения:1 часСумма лечения:3 850 руб.

Мы работаем с 1988 года
Все наши специалисты — профессионалы своего дела. Гарантируем, вам будет оказана квалифицированная помощь.
Высокое качество лечения
Используем лучшие материалы и оборудование. В качестве работы вы можете убедиться, ознакомившись с отзывами.
Доступные цены
Мы стараемся сократить ваши расходы, поэтому регулярно организуем для вас выгодные акции и скидки.
Тёплое отношение
Вам больше не нужно бояться стоматологов. Наши специалисты гарантируют комфортное и безболезненное лечение.
Удобное расположение
6 филиалов в 10 минутах ходьбы от метро в разных районах Санкт-Петербурга. Мы всегда рады вас видеть!
Сервис онлайн-записи
Теперь вы можете записаться к врачу быстро и легко. Просто выберите удобное время и оставьте заявку на приём!


