До и после лечения


Осмотр и диагностика
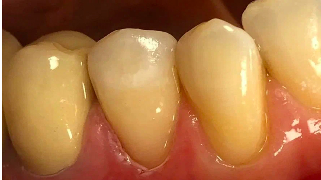
Пациент обратился в «Стоматологию Комфорта»с жалобами на наличие полости на 4.4 зубе, а также кратковременную болевую реакцию на холодное и горячее. Врач Серебрякова Мария Борисовна во время осмотра выявила клиновидный дефект зуба. Было решено провести лечение с помощью пломбировочного материала Estelite.
Пломбирование клиновидного дефекта позволяет остановить разрушительный процесс. Композитный материал Estelite содержит кремний-циркониевый и стронций-циркониевый наполнители для устранения объёмных сквозных дефектов. Масса хорошо держит форму и имеет отличные показатели износостойкости. У Estelite широкий спектр оттенков — до 20 тонов.
Процесс работы
В ходе лечения проведены следующие работы:
- введение анестетика;
- применение системы коффедрам;
- механическая и медикаментозная обработка;
- наложение лечебной прокладки;
- наложение изолирующей прокладки;
- пломбирование композитом Estelite;
- шлифовка и полировка пломбы;
- обработка полости рта.
Улыбку создавали
Другие работы

Удаление наддесневых и поддесневых зубных отложений с помощью ультразвукового аппарата, чистка Airflow и полировка зубовСмотреть работуСрок лечения:50 минутСумма лечения:3 850 руб.
Лечение пульпита, восстановление стенки зуба при помощи композита EsteliteСмотреть работуСрок лечения:1,5 часаСумма лечения:18 000 руб.
Мы работаем с 1988 года
Все наши специалисты — профессионалы своего дела. Гарантируем, вам будет оказана квалифицированная помощь.
Высокое качество лечения
Используем лучшие материалы и оборудование. В качестве работы вы можете убедиться, ознакомившись с отзывами.
Доступные цены
Мы стараемся сократить ваши расходы, поэтому регулярно организуем для вас выгодные акции и скидки.
Тёплое отношение
Вам больше не нужно бояться стоматологов. Наши специалисты гарантируют комфортное и безболезненное лечение.
Удобное расположение
6 филиалов в 10 минутах ходьбы от метро в разных районах Санкт-Петербурга. Мы всегда рады вас видеть!
Сервис онлайн-записи
Теперь вы можете записаться к врачу быстро и легко. Просто выберите удобное время и оставьте заявку на приём!


